Our Results
The following are examples of actual patients treated by Dr. Tallman:
To view, click on the links below to open and close the case examples.
Images are copyrighted, protected by federal HIPPA laws and may not be reproduced or downloaded.
March 2019: Trampoline injury to right knee causing ACL tear, meniscus tear
March 2019: MRI 1
April 2019: Regenerative injection treatment 1
June 2019: MRI 2
June 2019: Regenerative injection treatment 2
August 2019: Regenerative injection treatment 3
December 2019: MRI 3
December 2019: Regenerative injection treatment 4
June 2020: MRI 4
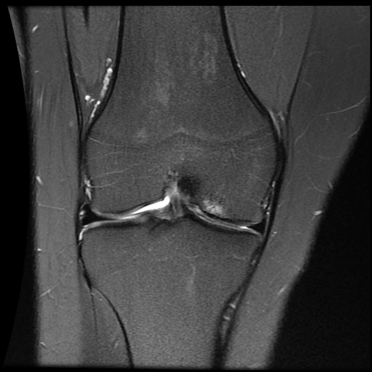
March 2019 MRI
IMPRESSION:
- Complete rupture proximal third anterior cruciate ligament with pivot shift
pattern of bone injuries lateral compartment and contrecoup bone contusion
medial tibial plateau. Joint hemarthrosis. - Complex tear lateral meniscus with inferiorly flipped flap tear extending
into the popliteal hiatus. - Complex tear medial meniscus with outwardly extruded tears of the posterior
horn and body. - Low-grade sprains medial collateral ligament and medial posterior oblique
ligament. - Low-grade sprains fibular collateral ligament and anterolateral ligament.
Intermediate to high-grade sprain popliteofibular ligament and arcuate ligament. - Grade 1 strains vastus lateralis, short head biceps, sartorius, soleus,
popliteus and anterior compartment muscles.
May 2019 MRI
IMPRESSION
- Near full-thickness tear of the anterior cruciate ligament femoral attachment with
associated edema in the intercondylar notch. This is best seen on axial and coronal
images. - Pivot shift bone contusions in a pattern typical of this injury.
- Medial meniscus: Complex tear of the posterior horn of the peripheral third
compromising superior and inferior articular surfaces, with the tear more horizontal
towards the posterior horn/body junction.
December 2019 MRI
IMPRESSION
- Medial: Nondisplaced horizontal longitudinal tear extending obliquely to the
undersurface of the meniscal body and posterior horn segments. No chondral erosion or thinning. Intact root ligaments. - Intact anterior cruciate ligament. Normal posterior cruciate ligament. Intact medial
lateral supporting structures. - No joint effusion or synovitis. No periarticular muscle injury. No osseous contusion
or stress injury. Minimal fluid in the semimembranosus-medial gastrocnemius bursa. No
frank Baker's cyst.
June 2020 MRI
IMPRESSION
- Healed femoral-sided ACL tear with partial attenuation of the proximal ACL fibers.
- Progressive healing of horizontal oblique tear of the medial meniscus posterior horn.
- Chronic inferiorly displaced meniscal flap tear at the lateral meniscus posterior
horn-root junction, less conspicuous than on prior MR imaging. Resolution of previously
noted horizontal longitudinal tear of the body-posterior horn segments. - No new evidence of internal derangement. No acute osseous abnormality.
This patient presented with an ultrasound demonstrating a baseball-sized Baker's cyst behind the knee. The "after" film was taken 4 months after the 8th treatment of prolotherapy. He is now enjoying being pain and Baker’s cyst free. At three year follow-up, the cyst had not returned.[/toggle_content]
This patient presented with shoulder pain that interfered with work and exercise. The visible fluid-filled cysts on the “Before" MRIs are from chronically injured rotator cuff tendon roots.
The patient underwent treatments of a highly specialized fine-needling technique pioneered by Dr. Tallman.The follow-up MRI was done 2 months after his 6th treatment. He was released with a pain-free, full range of motion with unrestricted activities.


















































































































